

New Year’s offer: save up to CHF 200 on your check-up | All details

New Year’s offer: save up to CHF 200 on your check-up | All details

New Year’s offer: save up to CHF 200 on your check-up | All details
Summary

Dr. Olivio Donati
Hello Tom,
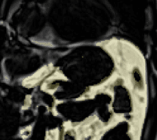
Your recent health check-up provides a detailed overview of your health, showing some very positive developments alongside a few areas that warrant attention. The most notable findings are related to age-appropriate wear-and-tear in your spine. The MRI shows disc bulges in your neck and lower back, with one in your lower back causing a moderate narrowing of the spinal canal, which can sometimes affect nerves. Your blood tests indicate a persistent elevation in a type of white blood cell called eosinophils, which can be a sign of an allergic or inflammatory process, and may be linked to fluid seen in the air cells behind your ears. We also noted a mild reduction in your kidney filtration rate, which often
Read more

1 clinical follow-up
Consultation



7 health optimizations
4 observations
2 minor
1 significant
7
Radiology findings
3 optimal
74 normal range
4 out of range
81
Biomarkers
1.6%
Heart risk score
Your 10-year cardiovascular risk is considered low-to-moderate (0%-2.5%).
32
Biological age
Your biological age is 6 years younger than your actual age.
6
Summary
Brain & nervous
2
Cardiovascular
Respiratory
Metabolic
Liver & digestive
Kidney & electrolytes
1
Muscle & bone
Thyroid
Blood
4
Vitamins
Selected report

MRI + 1 add-on
November 4th, 2025
View details
Share report
My account
Home
Health report
Action plan
Health report


32
Biological age
Your biological age is 6 years younger than your actual age.
6
1.6%
Heart risk score
At 1.6%, your 10-year cardiovascular risk is considered low (1–5%).
50
81
Biomarkers
0 optimal
3 optimal
48 normal range
74 normal range
2 out of range
7
Radiology findings
4 normal
2 minor
1 significant
MRI + 1 add-on | November 4th, 2025
Health report
Home
Health report
Action plan
Home
Health report
Action plan
Summary

Prof. Dr. med. Olivio Donati
Hello Tom,
Your recent health check-up provides a detailed overview of your health, showing some very positive developments alongside a few areas that warrant attention. The most notable findings are related to age-appropriate wear-and-tear in your spine. The MRI shows disc bulges in your neck and lower back, with one in your lower back causing a moderate narrowing of the spinal canal, which can sometimes affect nerves. Your blood tests indicate a persistent elevation in a type of white blood cell called eosinophils, which can be a sign of an allergic or inflammatory process, and may be linked to fluid seen in the air cells behind your ears. We also noted a mild reduction in your kidney filtration rate, which often varies and can be influenced by factors like hydration. On a very positive note, your results show excellent improvements in your metabolic health. Your blood sugar and cholesterol values are now in an ideal range, which is a wonderful achievement and greatly benefits your cardiovascular health. Furthermore, your body composition is outstanding, with very low levels of abdominal and liver fat. Other findings, such as small, simple cysts in your liver, are common and not a cause for concern. You will find more details on all these points in the full report below.
Read more
Turn scattered medical data into useful insights
Goodbye to dozens of PDFs and medical jargon. Hello to clear, actionable health data in one beautiful report.
Turn scattered medical data into useful insights.
Goodbye to dozens of PDFs, unreadable medical jargon and unclear next steps. Hello to actionable health data in a beautiful report.
A report that doesn’t feel like homework
A report that doesn’t feel like homework
A report that doesn’t feel like homework
Because understanding your body shouldn’t require a medical degree.
See your health data in one place
Every important datapoint, unified in one report.
Biological age
Biological age
Biological age
0
38
38
38
Your biological age is 6 years younger
Your biological age is 6 years younger
Your biological age is 6 years younger
Blood biomarkers
Blood biomarkers
Blood biomarkers
79
79
79
/ 81 in range
/ 81 in range
/ 81 in range
Imaging markers
Imaging markers
Imaging markers
31
31
31
/ 33 in range
/ 33 in range
/ 33 in range
Radiology findings
Radiology findings
Radiology findings



10 findings
10 findings
10 findings
Personalized health scores
Get a clearer read on your body’s biological ageing.
63 years



67 years
56 years
Clear action items
Follow a clear plan prioritized by our leading doctors.
To-do list
Required
Physiotherapist consultation
Book visit for physical therapy guidance
Back muscle training
Support spinal health with targeted exercises
Increase daily water intake
Add previous lab or scan results
Dynamic journey tracking
See how your body changes over time or reacts to changes.
Jan 4
Jan 4
Hide details
Intermediate
Pre-diabetes
5.9
%
HbA1c (NGSP)
Sep 4
Jun 8
Apr 6
Pre diabetes 4.8 - 6.5
Normal < 4.8
Diabetes > 6.5
Turn markers into meaning
Turn markers into meaning
Turn markers into meaning
Our report explains key findings, where they occur, and why they matter.
See your health in color, not chaos
Every biomarker shown on a clear scale, plus the trend that reveals where your health is heading.
Above range


5.9
%
HbA1c (NGSP)
Normal range
4.8
MMOL/l
Fasting glucose
Normal range
1.6
L
Visceral adipose tissue (VAT)
Normal range
17.8
µMOL/L
Iron
See your health in color, not chaos
Every biomarker shown on a clear scale, plus the trend that reveals where your health is heading.
Above range


5.9
%
HbA1c (NGSP)
Normal range
4.8
MMOL/l
Fasting glucose
Normal range
1.6
L
Visceral adipose tissue (VAT)
Normal range
17.8
µMOL/L
Iron
See your health in color, not chaos
Every biomarker shown on a clear scale, plus the trend that reveals where your health is heading.
Above range


5.9
%
HbA1c (NGSP)
Normal range
4.8
MMOL/l
Fasting glucose
Normal range
1.6
L
Visceral adipose tissue (VAT)
Normal range
17.8
µMOL/L
Iron
AI-based annotation of your body
Easily understand highly technical scans.
2 recommended actions
2 actions
2 actions
One minor finding
One minor finding
Side-by-side comparison
Track internal changes over the years.



2022



2025
2022

A plan tailored to your story
No standard checklists. Our doctors shape each plan around your health, lifestyle, and goals.
Recommendations that meet you where you are
Which actions make the most sense for your health right now?
Tom,32
Marathon runner

Track omega-3 levels
Follow-up blood test
In 4 months
Impacts 4 biomarkers

Lena, 48
Account Manager

Improve sleep hygiene
Lifestyle
Daily
Impacts 9 biomarkers

Claudia, 71
Passionate home chef

Take Vitamin D supplement
Supplements
Daily
Impacts 4 biomarkers


Add complete plant proteins
Nutrition
Daily
Impacts 3 biomarkers

Lena, 48
Account Manager

Improve sleep hygiene
Lifestyle
Daily
Impacts 9 biomarkers

Tom,32
Marathon runner

Track omega-3 levels
Follow-up blood test
In 4 months
Impacts 4 biomarkers

David, 51
Family stroke risk

Moderate aerobic training
Exercise & activity
3x week
Impacts 3 biomarkers

Claudia, 71
Passionate home chef

Take Vitamin D supplement
Supplements
Daily
Impacts 4 biomarkers

Eva,38
Vegetarian

Add complete plant proteins
Nutrition
Daily
Impacts 3 biomarkers

Lena, 48
Account Manager

Improve sleep hygiene
Lifestyle
Daily
Impacts 9 biomarkers

Tom,32
Marathon runner

Track omega-3 levels
Follow-up blood test
In 4 months
Impacts 4 biomarkers

Recommendations that meet you where you are
Which actions make the most sense for your health right now?
Tom,32
Marathon runner

Track omega-3 levels
Follow-up blood test
In 4 months
Impacts 4 biomarkers

Lena, 48
Account Manager

Improve sleep hygiene
Lifestyle
Daily
Impacts 9 biomarkers

Claudia, 71
Passionate home chef

Take Vitamin D supplement
Supplements
Daily
Impacts 4 biomarkers

Eva,38
Vegetarian

Add complete plant proteins
Nutrition
Daily
Impacts 3 biomarkers

Lena, 48
Account Manager

Improve sleep hygiene
Lifestyle
Daily
Impacts 9 biomarkers


Track omega-3 levels
Follow-up blood test
In 4 months
Impacts 4 biomarkers

David, 51
Family stroke risk

Moderate aerobic training
Exercise & activity
3x week
Impacts 3 biomarkers

Claudia, 71
Passionate home chef

Take Vitamin D supplement
Supplements
Daily
Impacts 4 biomarkers

Eva,38
Vegetarian

Add complete plant proteins
Nutrition
Daily
Impacts 3 biomarkers

Lena, 48
Account Manager

Improve sleep hygiene
Lifestyle
Daily
Impacts 9 biomarkers

Tom,32
Marathon runner

Track omega-3 levels
Follow-up blood test
In 4 months
Impacts 4 biomarkers

Recommendations that meet you where you are
Which actions make the most sense for your health right now?
Tom,32
Marathon runner

Track omega-3 levels
Follow-up blood test
In 4 months
Impacts 4 biomarkers

Lena, 48
Account Manager

Improve sleep hygiene
Lifestyle
Daily
Impacts 9 biomarkers

Claudia, 71
Passionate home chef

Take Vitamin D supplement
Supplements
Daily
Impacts 4 biomarkers

Eva,38
Vegetarian

Add complete plant proteins
Nutrition
Daily
Impacts 3 biomarkers

Lena, 48
Account Manager

Improve sleep hygiene
Lifestyle
Daily
Impacts 9 biomarkers


Track omega-3 levels
Follow-up blood test
In 4 months
Impacts 4 biomarkers

David, 51
Family stroke risk

Moderate aerobic training
Exercise & activity
3x week
Impacts 3 biomarkers

Claudia, 71
Passionate home chef

Take Vitamin D supplement
Supplements
Daily
Impacts 4 biomarkers

Eva,38
Vegetarian

Add complete plant proteins
Nutrition
Daily
Impacts 3 biomarkers

Lena, 48
Account Manager

Improve sleep hygiene
Lifestyle
Daily
Impacts 9 biomarkers

Tom,32
Marathon runner

Track omega-3 levels
Follow-up blood test
In 4 months
Impacts 4 biomarkers

Additional insights
Background information on biomarkers and imaging results.



Dr. Olivio Donati
Your hs-CRP is mildly elevated — something we often see in people training for endurance events. Your plan includes steps to support recovery and lower inflammation.



2 actions
Clear signals
Confirm what’s in great shape, and act where it moves the needle.
4.8
MMOL/l
4.8
MMOL/l
4.8
MMOL/l
Fasting glukose
Fasting glucose
Normal range
No actions needed
Follow-up tests
Easily book a follow-up to dive further into your body.












Ahead Advanced
+ 3 add-ons



October 25th
9:00 - 10:00
Confirmed
Confirmed



Zürich
Witellikerstrasse 40, 8032 Zürich
Get directions
Add to calendar
A plan tailored to your story
A plan tailored to your story
Made for you
Each report is shaped by your life – not by standard ranges.
Bank-level security
Your medical data is 100% secure and in your control.
Easy sharing
Share your results with your doctor, specialist, or family.
Licensed Swiss practice
We’re fully Swiss licensed and so are our doctors.
Request Your sample report
Request Your sample report
Request Your sample report
What do other people say?




“Really good and professional”
Really good, professional and personalized experience throughout. I was positively surprised at how detailed and insightful the final report was and covered all my expectations plus more I had not even thought of.

Michael J
“Really good and professional”
Really good, professional and personalized experience throughout. I was positively surprised at how detailed and insightful the final report was and covered all my expectations plus more I had not even thought of.

Michael J
“Really good and professional”
Really good and professional and personalized experience throughout.
I was positively surprised at how detailed and insightful the final report was and covered all my expectations plus more I had not even thought of :)
Highly recommend for a full body preventative checkup!

Michael J
“Really good and professional”
Really good, professional and personalized experience throughout. I was positively surprised at how detailed and insightful the final report was and covered all my expectations plus more I had not even thought of.

Michael J
“Ahead is ahead of the curve”
The longevity field is progressing very fast, so finding the scientific sweet spot - while also making it understandable for normal people - is hard. They did an excellent job.

Joost Bruggeman
“Ahead is ahead of the curve”
The longevity field is progressing very fast, so finding the scientific sweet spot - while also making it understandable for normal people - is hard. They did an excellent job.

Joost Bruggeman
“Ahead is ahead of the curve”
As a medical doctor, I was extra curious how Ahead would handle the nuances in the report.
The longevity field is progressing very fast, so finding the scientific sweet spot - while also making it understandable for normal people - is hard.
They did an excellent job, also in the questions I asked the team about it later.

Joost Bruggeman
“Ahead is ahead of the curve”
The longevity field is progressing very fast, so finding the scientific sweet spot - while also making it understandable for normal people - is hard. They did an excellent job.

Joost Bruggeman
“Ahead’s MRI + blood test 👍👍
Flew to Zürich to get Ahead’s MRI + blood test. Both Ahead’s team and the partner’s were super professional, and guided me step-by-step through the experience.
The scan was short, blood draw uneventful, and I was in time to make my plane back. I really liked the report itself: simple to understand, with enough actual clinical depth.

Daniel Pourasghar
“Ahead’s MRI + blood test 👍👍
Flew to Zürich to get Ahead’s MRI + blood test. Both Ahead’s team and the partner’s were super professional, and guided me step-by-step through the experience.
The scan was short, blood draw uneventful, and I was in time to make my plane back. I really liked the report itself: simple to understand, with enough actual clinical depth.

Daniel Pourasghar
“Personalized, insightful, great for your health”
Personal guidance along the way from first contact to appointment to consultation.
Great report with lots of insights about your health. Clear and actionable next steps recommended in case something looks off.

Luisa Gerstner
“Personalized, insightful, great for your health”
Personal guidance along the way from first contact to appointment to consultation.
Great report with lots of insights about your health. Clear and actionable next steps recommended in case something looks off.

Luisa Gerstner


“Ahead’s MRI + blood test 👍👍
oth Ahead’s team and the partner’s were super professional, and guided me step-by-step through the experience. I really liked the report itself: simple to understand, with enough actual clinical depth.

Daniel Pourasghar
“Ahead’s MRI + blood test 👍👍
oth Ahead’s team and the partner’s were super professional, and guided me step-by-step through the experience. I really liked the report itself: simple to understand, with enough actual clinical depth.

Daniel Pourasghar
“Ahead’s MRI + blood test 👍👍
oth Ahead’s team and the partner’s were super professional, and guided me step-by-step through the experience. I really liked the report itself: simple to understand, with enough actual clinical depth.

Daniel Pourasghar
“Personalized, insightful, great for health”
Personal guidance along the way from first contact to appointment to consultation. Great report with lots of insights about your health. Clear and actionable next steps recommended in case something looks off.

Luisa Gerstner
“Personalized, insightful, great for health”
Personal guidance along the way from first contact to appointment to consultation. Great report with lots of insights about your health. Clear and actionable next steps recommended in case something looks off.

Luisa Gerstner
“Personalized, insightful, great for health”
Personal guidance along the way from first contact to appointment to consultation. Great report with lots of insights about your health. Clear and actionable next steps recommended in case something looks off.

Luisa Gerstner



What we're working on



Add your past lab reports
Add your past lab reports



Connect your wearable device
Connect your wearable device



Share with your GP
Share with your GP
Frequently
asked questions
Frequently
asked questions
Can I bring my recent blood test results from another provider?
Yes, it is possible include recent blood test results you've obtained from another provider (e.g., CARE).
It's generally advised that blood tests be recent (ideally not older than 3 months) to provide the most accurate current health information.
Can I bring my recent blood test results from another provider?
Yes, it is possible include recent blood test results you've obtained from another provider (e.g., CARE).
It's generally advised that blood tests be recent (ideally not older than 3 months) to provide the most accurate current health information.
Can I bring my recent blood test results from another provider?
Yes, it is possible include recent blood test results you've obtained from another provider (e.g., CARE).
It's generally advised that blood tests be recent (ideally not older than 3 months) to provide the most accurate current health information.
Can I bring my recent blood test results from another provider?
Yes, it is possible include recent blood test results you've obtained from another provider (e.g., CARE).
It's generally advised that blood tests be recent (ideally not older than 3 months) to provide the most accurate current health information.
Can I have only a blood test without the MRI?
Yes. You can book our advanced blood test blood test at our partner clinic in Zürich. Learn more about our blood test here.
Can I have only a blood test without the MRI?
Yes. You can book our advanced blood test blood test at our partner clinic in Zürich. Learn more about our blood test here.
Can I have only a blood test without the MRI?
Yes. You can book our advanced blood test blood test at our partner clinic in Zürich. Learn more about our blood test here.
Can I have only a blood test without the MRI?
Yes. You can book our advanced blood test blood test at our partner clinic in Zürich. Learn more about our blood test here.
Do I need a referral for an Ahead test?
No, you do not need a referral for the Ahead tests. You can request an appointment independently. Please note that we may need to assess your eligibility for some tests.
You can book your appointment online through our website, which features a real-time calendar, or by contacting us via WhatsApp or phone.
Do I need a referral for an Ahead test?
No, you do not need a referral for the Ahead tests. You can request an appointment independently. Please note that we may need to assess your eligibility for some tests.
You can book your appointment online through our website, which features a real-time calendar, or by contacting us via WhatsApp or phone.
Do I need a referral for an Ahead test?
No, you do not need a referral for the Ahead tests. You can request an appointment independently. Please note that we may need to assess your eligibility for some tests.
You can book your appointment online through our website, which features a real-time calendar, or by contacting us via WhatsApp or phone.
Do I need a referral for an Ahead test?
No, you do not need a referral for the Ahead tests. You can request an appointment independently. Please note that we may need to assess your eligibility for some tests.
You can book your appointment online through our website, which features a real-time calendar, or by contacting us via WhatsApp or phone.
Do you offer specialist referrals if something is found?
Yes. Your radiologist's report will include an ONCO-RADS classification for any relevant findings, along with a suggested follow-up pathway.
Our team can assist in booking necessary follow-up imaging or consultations with specialists within our partner network (e.g., Hirslanden) directly if needed, particularly for RADS 4-5 findings.
Do you offer specialist referrals if something is found?
Yes. Your radiologist's report will include an ONCO-RADS classification for any relevant findings, along with a suggested follow-up pathway.
Our team can assist in booking necessary follow-up imaging or consultations with specialists within our partner network (e.g., Hirslanden) directly if needed, particularly for RADS 4-5 findings.
Do you offer specialist referrals if something is found?
Yes. Your radiologist's report will include an ONCO-RADS classification for any relevant findings, along with a suggested follow-up pathway.
Our team can assist in booking necessary follow-up imaging or consultations with specialists within our partner network (e.g., Hirslanden) directly if needed, particularly for RADS 4-5 findings.
Do you offer specialist referrals if something is found?
Yes. Your radiologist's report will include an ONCO-RADS classification for any relevant findings, along with a suggested follow-up pathway.
Our team can assist in booking necessary follow-up imaging or consultations with specialists within our partner network (e.g., Hirslanden) directly if needed, particularly for RADS 4-5 findings.
Do you work with employer programmes?
Whether the screening can be reimbursed through your employer depends on the agreements your company has in place. Some employers offer health programs or subsidies that may cover the Ahead screening.
It is recommended to check with your employer.
Do you work with employer programmes?
Whether the screening can be reimbursed through your employer depends on the agreements your company has in place. Some employers offer health programs or subsidies that may cover the Ahead screening.
It is recommended to check with your employer.
Do you work with employer programmes?
Whether the screening can be reimbursed through your employer depends on the agreements your company has in place. Some employers offer health programs or subsidies that may cover the Ahead screening.
It is recommended to check with your employer.
Do you work with employer programmes?
Whether the screening can be reimbursed through your employer depends on the agreements your company has in place. Some employers offer health programs or subsidies that may cover the Ahead screening.
It is recommended to check with your employer.
How do I book a check-up and what information is needed?
You can request your appointment online through our website or by contacting us via WhatsApp or phone.
You'll typically need to provide your full name, birthdate, personal address and preferred dates and times for your appointment, and specify your chosen check-up package.
An email address and phone number are also required for communication and confirmation.
How do I book a check-up and what information is needed?
You can request your appointment online through our website or by contacting us via WhatsApp or phone.
You'll typically need to provide your full name, birthdate, personal address and preferred dates and times for your appointment, and specify your chosen check-up package.
An email address and phone number are also required for communication and confirmation.
How do I book a check-up and what information is needed?
You can request your appointment online through our website or by contacting us via WhatsApp or phone.
You'll typically need to provide your full name, birthdate, personal address and preferred dates and times for your appointment, and specify your chosen check-up package.
An email address and phone number are also required for communication and confirmation.
How do I book a check-up and what information is needed?
You can request your appointment online through our website or by contacting us via WhatsApp or phone.
You'll typically need to provide your full name, birthdate, personal address and preferred dates and times for your appointment, and specify your chosen check-up package.
An email address and phone number are also required for communication and confirmation.
How do I get my raw DICOM (imaging) files?
You can request your raw DICOM imaging files. We provide a secure download link for these files, typically within 24 hours of your request, at no extra cost.
How do I get my raw DICOM (imaging) files?
You can request your raw DICOM imaging files. We provide a secure download link for these files, typically within 24 hours of your request, at no extra cost.
How do I get my raw DICOM (imaging) files?
You can request your raw DICOM imaging files. We provide a secure download link for these files, typically within 24 hours of your request, at no extra cost.
How do I get my raw DICOM (imaging) files?
You can request your raw DICOM imaging files. We provide a secure download link for these files, typically within 24 hours of your request, at no extra cost.
How reliable are the results and what is the follow-up process?
Our health check-up results are based on established medical protocols, with professional and experienced MRI and laboratory partners, such as Hirslanden and Unilabs.
Medical experts carefully review all findings.
These check-ups serve as screening tools; if any concerns are identified, further follow-up may be necessary.
Our medical experts will help interpret your results, suggest appropriate next steps, and can provide referrals if needed.
Your results are delivered in a web-based interactive report, which is pre-drafted with the assistance of AI and validated by physicians.
For incidental findings, we use the ONCO-RADS classification (1-5). ONCO-RADS, or the Oncologically Relevant Findings Reporting and Data System, is a standardized classification system used in whole-body MRI for cancer screening. It categorizes findings based on the likelihood of malignancy, ranging from normal to highly likely malignant. Typically, RADS 3 findings (likely benign) may warrant an imaging follow-up in 6-12 months, while RADS 4-5 findings (suspicious or likely malignant) will lead to a referral to partner specialists.
After you receive your Ahead report, you can schedule a follow-up consultation (usually a video call) with one of our medical experts to discuss the findings in detail. This consultation is included in the package price and does not involve an additional fee.
How reliable are the results and what is the follow-up process?
Our health check-up results are based on established medical protocols, with professional and experienced MRI and laboratory partners, such as Hirslanden and Unilabs.
Medical experts carefully review all findings.
These check-ups serve as screening tools; if any concerns are identified, further follow-up may be necessary.
Our medical experts will help interpret your results, suggest appropriate next steps, and can provide referrals if needed.
Your results are delivered in a web-based interactive report, which is pre-drafted with the assistance of AI and validated by physicians.
For incidental findings, we use the ONCO-RADS classification (1-5). ONCO-RADS, or the Oncologically Relevant Findings Reporting and Data System, is a standardized classification system used in whole-body MRI for cancer screening. It categorizes findings based on the likelihood of malignancy, ranging from normal to highly likely malignant. Typically, RADS 3 findings (likely benign) may warrant an imaging follow-up in 6-12 months, while RADS 4-5 findings (suspicious or likely malignant) will lead to a referral to partner specialists.
After you receive your Ahead report, you can schedule a follow-up consultation (usually a video call) with one of our medical experts to discuss the findings in detail. This consultation is included in the package price and does not involve an additional fee.
How reliable are the results and what is the follow-up process?
Our health check-up results are based on established medical protocols, with professional and experienced MRI and laboratory partners, such as Hirslanden and Unilabs.
Medical experts carefully review all findings.
These check-ups serve as screening tools; if any concerns are identified, further follow-up may be necessary.
Our medical experts will help interpret your results, suggest appropriate next steps, and can provide referrals if needed.
Your results are delivered in a web-based interactive report, which is pre-drafted with the assistance of AI and validated by physicians.
For incidental findings, we use the ONCO-RADS classification (1-5). ONCO-RADS, or the Oncologically Relevant Findings Reporting and Data System, is a standardized classification system used in whole-body MRI for cancer screening. It categorizes findings based on the likelihood of malignancy, ranging from normal to highly likely malignant. Typically, RADS 3 findings (likely benign) may warrant an imaging follow-up in 6-12 months, while RADS 4-5 findings (suspicious or likely malignant) will lead to a referral to partner specialists.
After you receive your Ahead report, you can schedule a follow-up consultation (usually a video call) with one of our medical experts to discuss the findings in detail. This consultation is included in the package price and does not involve an additional fee.
How reliable are the results and what is the follow-up process?
Our health check-up results are based on established medical protocols, with professional and experienced MRI and laboratory partners, such as Hirslanden and Unilabs.
Medical experts carefully review all findings.
These check-ups serve as screening tools; if any concerns are identified, further follow-up may be necessary.
Our medical experts will help interpret your results, suggest appropriate next steps, and can provide referrals if needed.
Your results are delivered in a web-based interactive report, which is pre-drafted with the assistance of AI and validated by physicians.
For incidental findings, we use the ONCO-RADS classification (1-5). ONCO-RADS, or the Oncologically Relevant Findings Reporting and Data System, is a standardized classification system used in whole-body MRI for cancer screening. It categorizes findings based on the likelihood of malignancy, ranging from normal to highly likely malignant. Typically, RADS 3 findings (likely benign) may warrant an imaging follow-up in 6-12 months, while RADS 4-5 findings (suspicious or likely malignant) will lead to a referral to partner specialists.
After you receive your Ahead report, you can schedule a follow-up consultation (usually a video call) with one of our medical experts to discuss the findings in detail. This consultation is included in the package price and does not involve an additional fee.
I am a practitioner, how can I refer my patients to Ahead?
As a healthcare professional, you can inform your patients about the Ahead program. We are happy to supply you with additional materials if needed.
Patients can book an appointment independently.
If you need assistance with patient referrals please contact us or email us at get@aheadhealth.com.
I am a practitioner, how can I refer my patients to Ahead?
As a healthcare professional, you can inform your patients about the Ahead program. We are happy to supply you with additional materials if needed.
Patients can book an appointment independently.
If you need assistance with patient referrals please contact us or email us at get@aheadhealth.com.
I am a practitioner, how can I refer my patients to Ahead?
As a healthcare professional, you can inform your patients about the Ahead program. We are happy to supply you with additional materials if needed.
Patients can book an appointment independently.
If you need assistance with patient referrals please contact us or email us at get@aheadhealth.com.
I am a practitioner, how can I refer my patients to Ahead?
As a healthcare professional, you can inform your patients about the Ahead program. We are happy to supply you with additional materials if needed.
Patients can book an appointment independently.
If you need assistance with patient referrals please contact us or email us at get@aheadhealth.com.
What does the report include and in which language is it provided?
Your results will be provided in English or German and delivered as an interactive digital report, typically within 5-7 business days after your scan. Due to longer processing times for Omega 3 & 6, it may take a few days longer.
A sample report can be made available upon request.
The report contains a detailed analysis of over 150 biomarkers derived from your imaging (MRI) and blood tests. It is pre-drafted with the assistance of AI and then validated by our medical experts.
You'll also gain access to a personal dashboard that retains your imaging and lab results, allowing for trend graphs and in the future the ability to upload external scans or wearable data, which our system can auto-ingest.
What does the report include and in which language is it provided?
Your results will be provided in English or German and delivered as an interactive digital report, typically within 5-7 business days after your scan. Due to longer processing times for Omega 3 & 6, it may take a few days longer.
A sample report can be made available upon request.
The report contains a detailed analysis of over 150 biomarkers derived from your imaging (MRI) and blood tests. It is pre-drafted with the assistance of AI and then validated by our medical experts.
You'll also gain access to a personal dashboard that retains your imaging and lab results, allowing for trend graphs and in the future the ability to upload external scans or wearable data, which our system can auto-ingest.
What does the report include and in which language is it provided?
Your results will be provided in English or German and delivered as an interactive digital report, typically within 5-7 business days after your scan. Due to longer processing times for Omega 3 & 6, it may take a few days longer.
A sample report can be made available upon request.
The report contains a detailed analysis of over 150 biomarkers derived from your imaging (MRI) and blood tests. It is pre-drafted with the assistance of AI and then validated by our medical experts.
You'll also gain access to a personal dashboard that retains your imaging and lab results, allowing for trend graphs and in the future the ability to upload external scans or wearable data, which our system can auto-ingest.
What does the report include and in which language is it provided?
Your results will be provided in English or German and delivered as an interactive digital report, typically within 5-7 business days after your scan. Due to longer processing times for Omega 3 & 6, it may take a few days longer.
A sample report can be made available upon request.
The report contains a detailed analysis of over 150 biomarkers derived from your imaging (MRI) and blood tests. It is pre-drafted with the assistance of AI and then validated by our medical experts.
You'll also gain access to a personal dashboard that retains your imaging and lab results, allowing for trend graphs and in the future the ability to upload external scans or wearable data, which our system can auto-ingest.


32
Biological age
Your biological age is 6 years younger than your actual age.
6
1.6%
Heart risk score
At 1.6%, your 10-year cardiovascular risk is considered low (1–5%).
50
Biomarkers
0 optimal
48 normal range
2 out of range
7
Radiology findings
4 normal
2 minor
1 significant
MRI + 1 add-on | November 4th, 2025
Health report
Home
Health report
Action plan
Summary

Prof. Dr. med. Olivio Donati
Hello Tom,
Your recent health check-up provides a detailed overview of your health, showing some very positive developments alongside a few areas that warrant attention. The most notable findings are related to age-appropriate wear-and-tear in your spine. The MRI shows disc bulges in your neck and lower back, with one in your lower back causing a moderate narrowing of the spinal canal, which can sometimes affect nerves. Your blood tests indicate a persistent elevation in a type of white blood cell called eosinophils, which can be a sign of an allergic or inflammatory process, and may be linked to fluid seen in the air cells behind your ears. We also noted a mild reduction in your kidney filtration rate, which often varies and can be influenced by factors like hydration. On a very positive note, your results show excellent improvements in your metabolic health. Your blood sugar and cholesterol values are now in an ideal range, which is a wonderful achievement and greatly benefits your cardiovascular health. Furthermore, your body composition is outstanding, with very low levels of abdominal and liver fat. Other findings, such as small, simple cysts in your liver, are common and not a cause for concern. You will find more details on all these points in the full report below.
Read more






